អ្នកជំងឺជនជាតិដាណឺម៉ាកម្នាក់បានទទួលរងនូវជំងឺដាច់សរសៃឈាមក្នុងខួរក្បាល ដោយមានការឈឺក្បាលធ្ងន់ធ្ងរ និងក្អួតដែលមិនអាចគ្រប់គ្រងបាន។ ជាសំណាងល្អ គាត់ត្រូវបានគេនាំទៅកាន់មន្ទីរពេទ្យ FV ភ្លាមៗ ដែលជាកន្លែងដែលក្រុមគ្រូពេទ្យបានធ្វើរោគវិនិច្ឆ័យភ្លាមៗអំពីស្ថានភាពរបស់គាត់ និងធ្វើអន្តរាគមន៍នៅផ្នែកប្រពន្ធ័ប្រសាទសង្គ្រោះជីវិតភ្លាមៗ ដោយមិនបាច់វះកាត់។
ដំណើរនៃការសង្គ្រោះជីវិត
វេជ្ជបណ្ឌិតនៅនាយកដ្ឋានគ្រោះថ្នាក់ និងសង្គ្រោះបន្ទាន់របស់មន្ទីរពេទ្យ FV បានធ្វើតេស្តភ្លាមៗ ដើម្បីវាយតម្លៃស្ថានភាពអ្នកជំងឺ។ ការស្កេន MRI បង្ហាញពីការហូរឈាមនៅក្នុងខួរក្បាល។ ដោយសារការហូរឈាមក្នុងខួរក្បាលមិនត្រូវបានបង្កឡើងដោយការប៉ះទង្គិច ឬផលប៉ះពាល់ផ្សេង ការស្កេន CT តាមដានបានបញ្ជាក់ពីរោគវិនិច្ឆ័យដ៏កម្រមួយ៖ ដុំពកនៃសរសៃឈាមវ៉ែននៅខួរក្បាលទំហំ 25 មីលីម៉ែត្រ បានដាច់រហែក។ អន្តរាគមន៍ភ្លាមៗគឺសំខាន់ណាស់ ព្រោះអាយុជីវិតរបស់អ្នកជំងឺគឺស្ថិតក្នុងហានិភ័យ។

ដោយមិនស្ទាក់ស្ទើរ ក្រុមវេជ្ជសាស្រ្ដពហុជំនាញ រួមមាន នាយកដ្ឋានគ្រោះថ្នាក់ និងសង្គ្រោះបន្ទាន់ ផ្នែកថ្នាំសណ្ដំ និង សង្រ្គោះជំងឺធ្ងន់ និងផ្នែករូបភាព និងអន្តរាគមន៍រូបភាពវេជ្ជសាស្រ្ត បានធ្វើការពិគ្រោះយោបល់ជាបន្ទាន់។ លោកវេជ្ជបណ្ឌិត Huynh Huu Danh អ្នកឯកទេសកម្រិត I និងជាអ្នកជំនាញផ្នែករូបភាព និងអន្តរាគមន៍រូបភាពវេជ្ជសាស្រ្តនៅមន្ទីរពេទ្យ FV បានវាយតម្លៃករណីនេះថាជាដុំពកសរសៃឈាមដ៏កម្រដែលមានការដាច់សរសៃឈាមវ៉ែនធំ ដែលបង្កហានិភ័យនៃការហូរឈាមបន្ត និងការគំរាមកំហែងធ្ងន់ធ្ងរដល់អាយុជីវិតរបស់អ្នកជំងឺ។
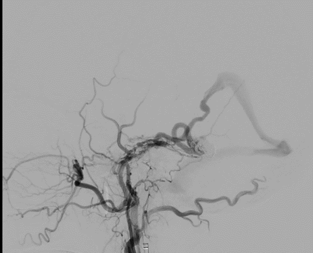
ជំនួសឱ្យការវះកាត់ខួរក្បាលបើកចំហរតាបែបបុរាណ វេជ្ជបណ្ឌិតបានជ្រើសរើសសម្រាប់នីតិវិធីអន្តរាគមន៍ផ្នែកសរសៃឈាមខាងក្នុងEndovascular ។ នេះគឺជាវិធីព្យាបាលកម្រិតខ្ពស់ទំនើប និងរាតត្បាតតិចតួចដែលត្រូវបានគេស្គាល់ពីប្រសិទ្ធភាពខ្ពស់របស់វា ប៉ុន្តែទាមទារភាពជាក់លាក់ និងជំនាញច្បាស់លាស់។ អ្នកជំងឺត្រូវបានផ្ទេរភ្លាមៗទៅកាន់បន្ទប់ឆ្លុះសរសៃឈាម ជាកន្លែងដែលលោកវេជ្ជបណ្ឌិត Huynh Huu Danh អនុវត្តនីតិវិធីផ្ទាល់ដោយមានការគាំទ្រពីប្រព័ន្ធ Digital Subtraction Angiography (DSA)។



លោកវេជ្ជបណ្ឌិត Danh បានពន្យល់ថា ដោយសារតែទីតាំងរបស់Aneurysm ពិបាកចូលទៅដល់ គាត់ត្រូវតែរុករកតាមបំពង់តាមសរសៃឈាមវែនជំនួសឱ្យសរសៃឈាមអារទែ។ លោកវេជ្ជបណ្ឌិត Danh បានប្រៀបធៀបថា “ប្រសិនបើការអន្តរាគមន៍តាមសរសៃឈាមអារទែគឺដូចជាការបើកបរលើផ្លូវស្រួលរលួនមានក្រាលកៅស៊ូ តែការធ្វើអន្តរាគមន៍តាមសរសៃឈាមវែនគឺដូចជាការឆ្លងកាត់ផ្លូវរដិបរដុប និងផ្លូវខ្យល់បោកបក់ខ្លាំង ដែលអាចផ្តល់ហានិភ័យខ្ពស់និងផលវិបាក”។
តាមរយៈស្នាមវះតូចមួយនៅភ្លៅ លោកវេជ្ជបណ្ឌិត Danh បានធ្វើអន្តរាគមន៍ដោយប្រុងប្រយ័ត្ននូវបំពង់ និងខ្សែមីក្រូ-មគ្គុទ្ទេសក៍តាមរយៈសរសៃវ៉ែន ដើម្បីឈានទៅដល់កន្លែងដាច់សរសៃឈាមក្នុងខួរក្បាល។ សរុបចំនួន 12 ខ្សែ (លួសដែក) ត្រូវបានដាក់នៅខាងក្នុងរន្ធសរសៃឈាមដើម្បី “បំណះ” តំបន់ដែលខូចនិងរារាំងលំហូរឈាមតាមរយៈការធ្លាយ។
ប៉ុន្មានម៉ោងក្រោយមកការធ្វើ អ្នកជំងឺមានស្ថេរភាព ដោយមិនមានការចង្អោរ និងកាត់បន្ថយការឈឺក្បាល។ ការស្កែន MRI ក្នុងរយៈពេលប៉ុន្មានថ្ងៃបន្ទាប់ បានបញ្ជាក់ថា ការហូរឈាមក្នុងខួរក្បាលលែងមាន និងកំពុងដោះស្រាយជាបណ្តើរៗ។ លោក F. ត្រូវបានចេញពីរមន្ទីរពេទ្យបន្ទាប់ពីការត្រួតពិនិត្យរយៈពេលពីរសប្តាហ៍។
កម្រជួប ប៉ុន្តែវាជាឃាតករស្ងៀមស្ងាត់
Dural arteriovenous fistula គឺជាជំងឺដ៏កម្រមួយ ដែលអាចបណ្តាលមកពីការឆ្លងមេរោគ ការប៉ះទង្គិច ឬអាចមកពីកំណើត។ នៅពេលដែលអមដោយការស្ទះសរសៃឈាមវ៉ែន វាកាន់តែកម្រនិងមានហានិភ័យនៃការហូរឈាមក្នុងខួរក្បាល។ ជារឿយៗ អ្នកជំងឺមិនបង្ហាញរោគសញ្ញាអ្វីឡើយ រហូតទាល់តែមានការដាច់រលាត់នៃ fistula ឬ aneurysm ដែលនាំឱ្យមានជំងឺដាច់សរសៃឈាមក្នុងខួរក្បាលដែលអាចគំរាមកំហែងដល់អាយុជីវិត។
ដើម្បីរកឃើញជំងឺសរសៃឈាមខួរក្បាលដែលអាចនាំឱ្យដាច់សរសៃឈាមខួរក្បាលនៅដំណាក់កាលដំបូង វិធីសាស្ត្រដ៏មានប្រសិទ្ធភាពបំផុតគឺការស្គេនខួរក្បាល MRI ។ នៅមន្ទីរពេទ្យ FV មានកម្មវិធីពិនិត្យជំងឺដាច់សរសៃឈាមខួរក្បាល ដែលអ្នកជំងឺត្រូវបានពិនិត្យដោយផ្ទាល់ដោយអ្នកជំនាញខាងប្រពន្ធ័សរសៃប្រសាទ និងគ្រូពេទ្យឯកទេសជំងឺបេះដូង។ ការពិនិត្យរួមមានការវាយតម្លៃមុខងារសរីរាង្គ ការថតឆ្លុះកាំរស្មីម៉ាញេទិក (MRA) និងរូបភាពសរសៃឈាម carotid ។

ការព្យាបាល fistulas arteriovenous dural ឬ aneurysms ខួរក្បាលជាមួយនឹងការអន្តរាគមន៍ endovascular ផ្តល់នូវអត្ថប្រយោជន៍ច្រើនហើយមិនរងនូវផលប៉ះពាល់ខណៈពេលដែលសម្រេចបាននូវអត្រាជោគជ័យខ្ពស់។ ទោះជាយ៉ាងណាក៏ដោយ បច្ចេកទេសនេះត្រូវតែអនុវត្តនៅក្នុង Cathlab ទំនើប ហើយត្រូវការវេជ្ជបណ្ឌិតឯកទេសទាំងផ្នែក endovascular និង neurointerventional ។ មន្ទីរពេទ្យ FV ត្រូវបានបំពាក់ដោយ Cathlab ទំនើប និងប្រព័ន្ធរូបភាព DSA ដែលផ្តល់នូវរូបភាពសរសៃឈាមដែលមានគុណភាពបង្ហាញខ្ពស់ ដើម្បីបង្កើននីតិវិធីច្បាស់លាស់ និងកាត់បន្ថយពេលវេលាអន្តរាគមន៍។ វេជ្ជបណ្ឌិត Huynh Huu Danh អ្នកឯកទេសកម្រិត I គឺជាអ្នកឯកទេសខាងសរសៃឈាមដែលមានបទពិសោធន៍ម្នាក់ ដែលមានសមត្ថភាពអាចអនុវត្តនីតិវិធីទាំងនេះបានទាំងមនុស្សពេញវ័យ និងកុមារ។
ដើម្បីគាំទ្រដល់ការពិនិត្យ និងព្យាបាលជំងឺនៅមន្ទីរពេទ្យ FV ប្រកបដោយប្រសិទ្ធភាព កម្មវិប្រូមូសិនសម្រាប់អ្នកជំងឺកម្ពុជា ត្រូវបានអនុវត្តចាប់ពីខែសីហា ឆ្នាំ២០២៥ ដល់ខែតុលា ឆ្នាំ២០២៥ ដូចខាងក្រោម៖
💞 ផ្តល់ជូន voucher ៨ដុល្លារសម្រាប់អតិថិជនទាំងអស់ដែលមកមន្ទីរពេទ្យ FV ។
💞 ឧបត្ថម្ភថ្លៃធ្វើដំណើរ ១០ ដុល្លារសម្រាប់អ្នកជំងឺដែលមកពីប្រទេសកម្ពុជា។
សម្រាប់ព័ត៌មានបន្ថែម សូមទំនាក់ទំនង៖
ការិយាល័យតំណាងរបស់មន្ទីរពេទ្យ FV នៅទីក្រុងភ្នំពេញ ប្រទេសកម្ពុជា
ទូរស័ព្ទ (+855) 23 211 777 ឬខ្សែទូរស័ព្ទ (+855) 89 999 345 ។
#មន្ទីរពេទ្យFV

