(វៀតណាម)៖ បុរសជនជាតិអូស្ត្រាលីម្នាក់រស់នៅក្នុងទីក្រុងហូជីមិញ បានទទួលរងនូវការឈឺទ្រូង មានសំឡេងរំខាន និងប្រកាច់ដែលមិនដឹងពីមូលហេតុ ដោយស្មានថាជាសញ្ញានៃជំងឺបេះដូង។ ប៉ុន្តែ ការស្កែន MRI ខួរក្បាលបានបង្ហាញពីដុំសាច់សរសៃឈាមដ៏កម្រមួយ ដែលលាក់ជ្រៅនៅក្នុងខួរក្បាល។ ការសម្រេចចិត្តទាន់ពេលវេលា ដើម្បីធ្វើការវះកាត់នៅមន្ទីរពេទ្យ FV បានជួយឱ្យគាត់ជាសះស្បើយដោយអព្ភូតហេតុ ត្រលប់មកជីវិតធម្មតាវិញ បន្ទាប់ប្រើពេលត្រឹមតែ ៤ ថ្ងៃប៉ុណ្ណោះ។
*ស្មានថាគាំងបេះដូង បែរជាមានដុំសាច់កម្រក្នុងខួរក្បាល
ថ្មីៗនេះ លោក S.F. អាយុ ៦៣ឆ្នាំ សញ្ជាតិអូស្ត្រាលី កំពុងប្រឈមនឹងការឈឺទ្រូងធ្ងន់ធ្ងរ។ ដំបូង គាត់ បាន ទៅ មន្ទីរពេទ្យ ឯកជន ធំ មួយ ដើម្បី ពិនិត្យ។ លទ្ធផលតេស្តសរសៃឈាមបេះដូងគឺធម្មតាទាំងស្រុង ប៉ុន្តែនៅពេលថតបន្ថែម MRI ខួរក្បាល គ្រូពេទ្យបានរកឃើញដុំសាច់តូចមួយ ហើយធ្វើរោគវិនិច្ឆ័យថាការឈឺទ្រូងអាចជាការបង្ហាញដែលបណ្តាលមកពីជំងឺឆ្គួតជ្រូក។
គាត់ត្រូវបានចេញវេជ្ជបញ្ជាឱ្យប្រើថ្នាំដើម្បីគ្រប់គ្រងការប្រកាច់ ហើយត្រូវបាន កំណត់ការធ្វើសកម្មភាពប្រចាំថ្ងៃជាច្រើនដូចជា មិនឱ្យហែលទឹក មិនហក់ លោត និងជាពិសេសមិនបើកបរយ៉ាងហោចណាស់ ៦ខែ។ ប៉ុន្តែ ដោយមានអារម្មណ៍ថាដំណោះស្រាយនេះគ្រាន់តែជា «ការព្យាបាលបណ្តោះអាសន្ន) ហើយមិនអើពើនឹងដុំសាច់ក្នុងខួរក្បាល លោក F. បានសម្រេចចិត្តទៅមន្ទីរពេទ្យ FV ដើម្បីធ្វើការវាយតម្លៃ និងព្យាបាលឱ្យបានហ្មត់ចត់ជាងមុន។
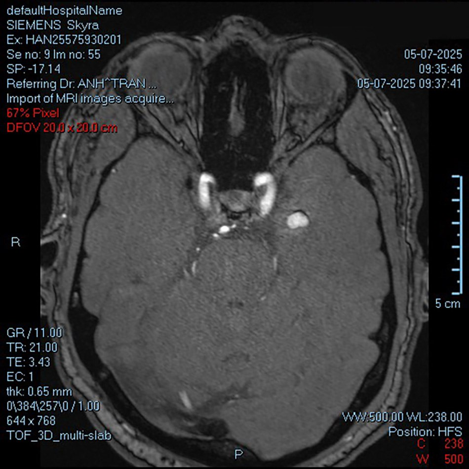
វេជ្ជបណ្ឌិតឯកទេស២ ត្រឹងលឿងអាញ់ ប្រធានផ្នែកវះកាត់សរសៃប្រសាទ និងឆ្អឹងខ្នង បានពីពិនិត្យ និងវិភាគលទ្ធផល ដោយបានរកឃើញថា អ្នកជំងឺមានដុំសាច់សរសៃឈាមក្នុងប្រហោងដ៏កម្រ ដែលមានទីតាំងនៅ hippocampus ក្នុងតំបន់កំពកសៀតផ្កា តំបន់គ្រប់គ្រងមុខងារនៃការចងចាំរហ័ស។
«នេះគឺជាដុំសាច់សរសៃឈាមពីកំណើត ដែលជាធម្មតាបង្ហាញរោគសញ្ញានៅពេលដែលមានការហូរឈាម ឬនៅពេលដែលវាមានទំហំធំ។ ដោយសារតែវាស្ថិតនៅទីតាំងសំខាន់មួយនៅក្នុងខួរក្បាល នៅពេលដែលវាហូរឈាម ដុំសាច់នឹងបង្កការប្រកាច់» លោកវេជ្ជបណ្ឌិត លឿងអាញ់ បានពន្យល់។

ដុំសាច់នេះ បណ្តាលឱ្យកើតជំងឺឆ្គួត ជ្រូកសរីរាង្គ ដែ លជា ប្រភេទមួយនៃជំងឺឆ្កួតជ្រូក បណ្តាលឱ្យអ្នកជំងឺមានអារម្មណ៍កន្ត្រាក់នៅខាងក្នុងរាងកាយជាពិសេស នៅក្នុងតំបន់បេះដូង។ ក្នុងពេលជាមួយគ្នានេះ គាត់ក៏បានជួបប្រទះនូវបញ្ហា ស្មារតីមួយចំនួន ដូចជាការរវើរវាយធ្ងន់ធ្ងរ មានសំឡេងរំខាន (ការស្តាប់ឮសំឡេងចម្លែកនៅក្នុងត្រចៀក) និង រវើរវាយដោយការមើលឃើញ (ការមើលឃើញរូបភាពដែលមិនមាន)។ នៅកម្រិតកំពូលក្នុងរយៈពេលត្រឹមតែ២ ថ្ងៃ គឺថ្ងៃទី១៧ និង ១៨ ខែមិថុនា លោក F. បានជួបប្រទះនឹងការប្រកាច់ជាប់គ្នាដល់៥ ដង អមដោយវិលមុខនិងការរវើរវាយកាន់តែខ្លាំង។
លោកវេជ្ជបណ្ឌិត លឿងអាញ់ បានសង្កត់ធ្ងន់ថា«ប្រសិនបើមូលហេតុឫសគល់នៃដុំសាច់ហូរឈាមមិនត្រូវបានរកឃើញ និងព្យាបាលទាន់ពេលវេលា អ្នកជំងឺអាចត្រូវបានធ្វើរោគវិនិច្ឆ័យថាមានជំងឺវិកលចរិក ដែលនាំឱ្យការព្យាបាលមិនត្រឹមត្រូវ ធ្វើឱ្យគ្រោះថ្នាក់ដល់អាយុជីវិតអ្នកជំងឺ»។
*ស្វែងរកនិងយកដុំសាច់ខួរក្បាលដ៏គ្រោះថ្នាក់ដែលតូចដូចគ្រាប់សណ្តែក
ដោយ បារម្ភ ថា ដុំ សាច់ អាច ហូរ ឈាម កាន់តែ ធ្ងន់ធ្ងរ និង បង្ក ជា ផលវិបាក ដែល មិន អាច ទាយ ទុក មុន បាន លោក F. សម្រេចចិត្តយល់ព្រមធ្វើការវះកាត់បន្ទាន់។ លោកវេជ្ជបណ្ឌិត ត្រឹងលឿងអាញ់ – ប្រធានផ្នែកវះកាត់សរសៃប្រសាទ និងឆ្អឹងខ្នង មន្ទីរពេទ្យ FV បានពិនិត្យភ្លាមៗដោយប្រុងប្រយ័ត្ននូវកំណត់ត្រាវេជ្ជសាស្ត្រទាំងមូល និងធ្វើផែនការវះកាត់លម្អិតសម្រាប់អ្នកជំងឺ។
ដុំសាច់នេះទោះបីមានទំហំត្រឹមតែ 9x14mm ក៏ដោយ ប៉ុន្តែត្រូវបាន «លាក់»ជម្រៅ ៥cm នៅក្នុងស្រោមខួរក្បាល ដែលជាទីតាំងរសើបបំផុត។
កំហុសតូចមួយក្នុងអំឡុងពេលវះកាត់អាចបណ្តាលឱ្យខូចខាតយ៉ាងធ្ងន់ធ្ងរដល់តំបន់ជុំវិញខួរក្បាល។ នេះគឺជាបញ្ហាប្រឈមដ៏ធំបំផុតនៃការវះកាត់ ក្នុងការស្វែងរក «ទីតាំង» ពិតប្រាកដនៃដុំសាច់ ហើយយកវាចេញដោយមិនបំផ្លាញជាលិកាខួរក្បាលដែលមានសុខភាពល្អដែលទទួលខុសត្រូវចំពោះការចងចាំរបស់អ្នកជំងឺ។
វេជ្ជបណ្ឌិត លឿងអាញ់ អនុវត្តវិធីសាស្ត្រ «mini open» បើកលលាដ៍ក្បាលដោយស្នាមវះតូចបំផុត កាត់បន្ថយការខូចខាតតិចបំផុត។ ការគាំទ្រគាត់គឺជាប្រព័ន្ធរុករកទំនើបដែលដើរតួជា «GPS» ក្នុងការវះកាត់ខួរក្បាល។ ដោយនោះ វេជ្ជបណ្ឌិតអាចបញ្ចូលបំពង់វះកាត់តូចមួយត្រង់ចូលទៅក្នុងដុំសាច់ ដោយឈានដល់កម្រិតជាក់លាក់នីមួយៗតាមមីលីម៉ែត្រ។

ក្នុងអំឡុងពេលវះកាត់ ខួរក្បាលអាច «ផ្លាស់ទី»ដោយសារតែការផ្លាស់ប្តូរសម្ពាធក្នុងលលាដ៍ក្បាលនិងលំហូរសារធាតុរាវខួរក្បាល ដែលអាចធ្វើឱ្យខូចទ្រង់ទ្រាយទិន្នន័យទីតាំងពី MRI មុនការវះកាត់។ នេះគឺជាកន្លែងដែលបទពិសោធន៍និងថ្វីដៃរបស់គ្រូពេទ្យវះកាត់ក្នុងការសម្រេចចិត្តពីព្រោះសូម្បីតែ ភ្លាត់តែបន្តិចបន្តួចក៏អាចបន្សល់ទុកនូវផលវិបាកធ្ងន់ធ្ងរ។
ប្រព័ន្ធនៃការបង្ហាញផ្លូវបានក្លាយជាជំនួយការដ៏មានឥទ្ធិពល ដែលជួយឱ្យការវះកាត់ត្រូវបានអនុវត្តដោយភាពជាក់លាក់ដាច់ខាត។ បន្ទាប់ពីរយៈពេលជិត ២ ម៉ោងនៃ «អន្តរាគមន៍នៃខួរក្បាល» ដុំសាច់ត្រូវបានដកចេញទាំងស្រុង។ លទ្ធផលគឺអព្ភូតហេតុមួយ៖ ការប្រកាច់ ភាពស្រឡាំងកាំង និងការកន្ត្រាក់សរីរាង្គបានបាត់ទាំងស្រុង។ ត្រឹមតែ៤ថ្ងៃក្រោយមក លោក F. បានចេញពីមន្ទីពេទ្យ ប្រកបដោយសុខភាពល្អ និងត្រលប់ទៅជីវិតធម្មតា។
*«គ្រូពេទ្យពូកែណាស់! ខ្ញុំសំណាងដែលជ្រើសរើស FV»
ធ្លាប់ឆ្លងកាត់ការវះកាត់ជាច្រើនក្នុងជីវិត – ការវះកាត់ដកធ្មេញទាល់ ការវះកាត់ជង្គង់ ៣ដង ការវះកាត់ខ្នែងពោះវៀន ប៉ុន្តែនេះជាលើកដំបូងដែលនិយាយដល់ការវះកាត់ខួរក្បាល លោក F. មានអារម្មណ៍ថាពិតជាភ័យខ្លាចខ្លាំងណាស់។
លោកលើកឡើងថា«នៅពេលខ្ញុំមក FV ខ្ញុំមានការព្រួយបារម្ភខ្លាំង។ ប៉ុន្តែវិធីដែលគ្រូពេទ្យនិយាយជាមួយខ្ញុំ និងពន្យល់យ៉ាងច្បាស់អំពីហានិភ័យនីមួយៗ ហើយជំហាននៃការព្យាបាលនីមួយៗ ធ្វើឱ្យខ្ញុំមានអារម្មណ៍ថាមានសុវត្ថិភាពជាងមុន។ ខ្ញុំបានគិតអំពីការពន្យារពេលការវះកាត់ សូម្បីតែត្រឡប់ទៅអូស្ត្រាលីវិញដើម្បីព្យាបាល ប៉ុន្តែនៅពេលដែលវេជ្ជបណ្ឌិតបានវិភាគហានិភ័យធ្ងន់ធ្ងរ ប្រសិនបើការប្រកាច់កើតឡើងវិញ ខ្ញុំបានសម្រេចចិត្តធ្វើការវះកាត់ភ្លាមៗ»។

ពេលដែលភ្ញាក់ឡើងបន្ទាប់ពីការវះកាត់ គាត់ពោរពេញដោយសុភមង្គល ។ការប្រកាច់ និងភាពស្រឡាំងកាំងដែលនៅជាមួយគាត់អស់រយៈពេលជាយូរមកហើយស្ទើរតែបាត់ទៅវិញភ្លាមៗ។ លោកបន្ថែមថា«ខ្ញុំគិតថាខ្ញុំមានសំណាងដែលបានជ្រើសរើស FV ។ អ្វីគ្រប់យ៉ាងនៅទីនេះគឺអស្ចារ្យណាស់។ គ្រូពេទ្យគឺល្អណាស់ បុគ្គលិកមានការទទួលខុសត្រូវខ្ពស់ គ្រប់គ្នាយកចិត្តទុកដាក់ចំពោះខ្ញុំដូចជាគ្រួសារ។ ខ្ញុំពិតជារីករាយណាស់ »។
វេជ្ជបណ្ឌិត ត្រឹងលឿងអាញ់ គឺជាអ្នកជំនាញដ៏មានកិត្យានុភាពឈានមុខគេក្នុងវិស័យវះកាត់ខួរក្បាល និងឆ្អឹងខ្នង។ គាត់តែងតែផ្តល់អាទិភាពដល់ការវះកាត់រាតត្បាតតិចតួច ជួយអ្នកជំងឺកាត់បន្ថយការឈឺចាប់ ជាសះស្បើយយ៉ាងឆាប់រហ័ស និងរក្សាមុខងារខួរក្បាលអតិបរមា។ ទន្ទឹមនឹងនោះ ប្រព័ន្ធបរិក្ខាទំនើបនៅ FV គឺជា «ជំនួយការដ៏មានអានុភាព»ដែលជួយឱ្យគ្រូពេទ្យវះកាត់សម្រេចបាននូវភាពជាក់លាក់ខ្ពស់ក្នុងករណីលំបាក ដោយនាំមកនូវលទ្ធផលដ៏ល្អប្រសើរដល់អ្នកជំងឺ។
ដើម្បីធ្វើការណាត់ជួបពិនិត្យ និងព្យាបាល សូមទាក់ទងការិយាល័យតំណាងមន្ទីរពេទ្យ FV នៅទីក្រុងភ្នំពេញ ប្រទេសកម្ពុជា តាមរយៈ (+855) 23 211 777 ឬ ខ្សែទូរស័ព្ទ (+855) 89 999 345៕

