(វៀតណាម)៖ បុរសកម្ពុជា វ័យ៣៤ម្នាក់ដែល មានដុះដុំសាច់មួយនៅត្រង់ថ្គាមក្រោមខាងឆ្វេង ត្រូវបានគ្រូពេទ្យតម្រូវឱ្យធ្វើការវះកាត់យកឆ្អឹងថ្គាមទាំងមូលចេញ ដែលធ្វើឱ្យគាត់មានការភ័យខ្លាចថា មុខរបស់គាត់នឹងខូចទ្រង់ទ្រាយក្រោយការវះកាត់។ យ៉ាងណាមិញ បន្ទាប់ពីលោកបានមកមន្ទីរពេទ្យ FV ដើម្បីស្វែងរកឱកាសសង្គ្រោះមុខរបស់គាត់ លោកមានការភ្ញាក់ផ្អើលដែលមុខរបស់លោកអាចថែរក្សាទម្រង់ដើម។
នៅឆ្នាំ ២០២៤ លោក C ត្រូវបានរកឃើញដុំសាច់មួយនៅត្រង់ថ្គាមក្រោមខាងឆ្វេង ដែលមិនបណ្តាលឱ្យមានការឈឺចាប់ ប៉ុន្តែបណ្តាលឱ្យឆ្អឹងថ្គាមហើមខុសពីធម្មតា។ វេជ្ជបណ្ឌិតបានធ្វើរោគវិនិច្ឆ័យគាត់ថាមានដុំសាច់ថ្គាម ជាប្រភេទសាច់ស្លូតដែលលូតលាស់ដោយស្ងៀមស្ងាត់ ហើយលុកលុយចូលទៅឆ្អឹង ត្រូវការវះយក ឆ្អឹងថ្គាមខាងក្រោមទាំងមូលចេញ រួចយកផ្សំឆ្អឹងដើម្បីបង្កើតរចនាសម្ព័ន្ធមុខឡើងវិញ។
ដោយបារម្ភខ្លាចការវះកាត់ធំនឹងធ្វើឱ្យខូចទ្រង់ទ្រាយមុខបច្ចុប្បន្ននេះ លោក C. បានសម្រេចចិត្តទៅប្រទេសវៀតណាម មកមន្ទីរពេទ្យ FV ដើម្បីស្វែងរកដំណោះស្រាយព្យាបាលផ្សេង។

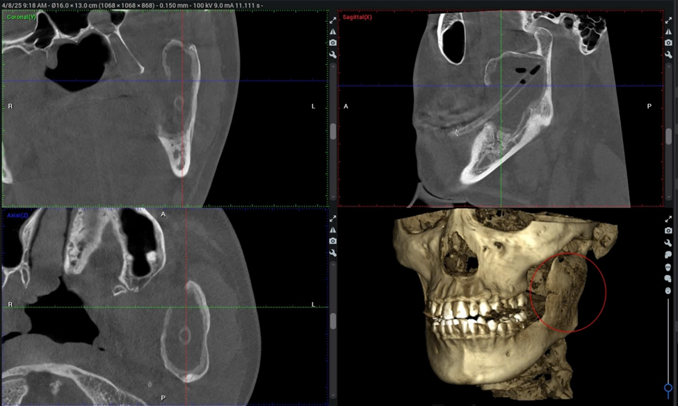
តាមរយៈការស្កែន CBCT (Cone Beam Computed Tomography) លោកវេជ្ជបណ្ឌិត ង្វៀថាញ់ទុង ប្រធានផ្នែកទន្តសាស្ត្រ និងវះកាត់ ថ្គាមមុខ នៃមន្ទីរពេទ្យ FV បានរកឃើញរបួសដែលបំផ្លាញឆ្អឹងថ្គាមក្រោមស្ទើរតែទាំងស្រុងពីតំបន់មុំថ្គាមរហូតដល់ Condyle ។ លោកវេជ្ជបណ្ឌិត ទុង បានមានប្រសាសន៍ថា«ថ្គាមទាល់លេខ៣៨របស់អ្នកជំងឺដុះជាប់នឹងដុំសាច់ នេះអាចជាមូលហេតុមួយដែលនាំឱ្យកើតដុំសាច់»។
ជាសំណាងល្អ ដុំសាច់នេះនៅតែក្នុងទីតាំងនៃតំបន់ឆ្អឹង អ្នកជំងឺមិនស្ពឹកចង្កា និងបបូរមាត់ខាងក្រោម (បង្ហាញថាសរសៃប្រសាទធ្មេញក្រោមមិនខូចខាត) ហើយអ្នកជំងឺនៅតែអាចបើកមាត់បានជាធម្មតា ទោះបីជាដុំសាច់បានរាលដាលដល់តំបន់សន្លាក់ថ្គាម temporomandibular ក៏ដោយ។ សញ្ញាទាំងនេះបង្ហាញថាការព្យាបាលបែបថែរក្សាទម្រង់ដើមអាចធ្វើទៅបានសម្រាប់អ្នកជំងឺ។
ប្រសិនបើលោក C. ត្រូវបានព្យាបាលដោយវិធីបុរាណ វេជ្ជបណ្ឌិតនឹងដកឆ្អឹងថ្គាមខាងឆ្វេងទាំងមូលចេញ រួចផ្សំឡើងវិញដោយវះកាត់ឆ្អឹង។ នេះគឺជាការវះកាត់ដ៏ធំដែលមានហានិភ័យខ្ពស់នៃផលវិបាក ដែលប៉ះពាល់ដល់សោភ័ណភាព និងមុខងារទំពាររបស់អ្នកជំងឺ។
លោកវេជ្ជបណ្ឌិត ទុង បានសម្រេចចិត្តព្យាបាលអ្នកជំងឺដោយថែរក្សាទម្រង់ដើម ដោយកាត់បន្ថយសម្ពាធក្នុងប្រហោងដុំសាច់ រួមផ្សំនឹងការបើកថង់ដុំសាច់សម្រាប់លោក C។
លោកវេជ្ជបណ្ឌិត ទុង បានពន្យល់ថា«នៅពេលដែលសម្ពាធក្នុងថង់ដុំសាច់ត្រូវបានបញ្ចេញ កោសិកាបំផ្លាញឆ្អឹងនៅក្នុងជញ្ជាំងឆ្អឹងជុំវិញដុំសាច់នោះឈប់ដំណើរការ។ នៅពេលនោះ រាងកាយនឹងទទួលសញ្ញា និងចាប់ផ្តើមដំណើរការបង្កើតឆ្អឹងថ្មីនៅក្នុងជញ្ជាំងឆ្អឹងជុំវិញដុំសាច់ (បរិមាត្រនៃដុំសាច់) ធ្វើឱ្យដុំសាច់នោះរួញបន្តិចម្តងៗ ខណៈពេលដែលជញ្ជាំងឆ្អឹងជុំវិញកាន់តែក្រាស់តាមពេលវេលា»។

ក្នុងអំឡុងពេលវះកាត់ វេជ្ជបណ្ឌិត ទុង បានដកថ្គាមទាល់លេខ ៣៨ របស់អ្នកជំងឺចេញ បង្កើតជា «ជាផ្លូវ » ចូលទៅក្នុងដុំសាច់តាមរយៈភ្នាសមាត់ ដេរថង់ដុំសាច់ទៅភ្នាសមាត់ជុំវិញ ដើម្បីបង្កើត «ជាផ្លូវ» បង្កើតជា «ថង់» ពីថង់ដុំសាច់ទៅមាត់ និងដាក់ «បំពង់» ដើម្បីបើកបំពង់បង្ហូរចេញ។
បញ្ហាប្រឈមនៅក្នុងដំណើរការបន្ថយសម្ពាធ គឺរបៀបបំបែកជាលិកាដុំសាច់ទាំងស្រុងដែលបណ្តាលឱ្យមានការបង្ហាប់នៅក្នុងប្រហោងនៃដុំសាច់ ហើយវាមានហានិភ័យខ្ពស់នៃការហូរឈាមអំឡុងពេលបន្ថយសម្ពាធ ដោយសារតែការរីកសាយនៃសរសៃឈាមជាច្រើននៅក្នុងជាលិកាដុំសាច់។ ដោយបទពិសោធន៍វះកាត់យ៉ាងទូលំទូលាយ និងការគាំទ្ររបស់ឧបករណ៍បញ្ឈប់ការហូរឈាមទំនើបនៅនឹងកន្លែង ក្រុមការងាររបស់វេជ្ជបណ្ឌិត ទុង បានគ្រប់គ្រងស្ថានការណ៍យ៉ាងល្អ។
បន្ទាប់ពីការព្យាបាលរយៈពេល ៣ ខែ ដុំសាច់បានរួមតូចបន្តិច ស្រទាប់ឆ្អឹងថ្មីដែលមានកម្រាស់ប្រហែល ២-៣mm បានបង្កើតឡើងយ៉ាងច្បាស់នៅជុំវិញប្រហោងនៃដុំសាច់។ ក្នុងអំឡុងពេលនៃការតាមដាននៅខែមេសា ឆ្នាំ២០២៥ អ្នកជំងឺបានរីករាយប្រាប់ថាគាត់អាចញ៉ាំ បើកមាត់បានធម្មតា និងស្ទើរតែគ្មានការឈឺចាប់។

(រូបថត៖ FV) ។
នៅពេលដែលដុំសាច់នេះរួមតូច ហើយឆ្អឹងជុំវិញនោះនឹងបង្កើតឡើងវិញកាន់តែច្រើន វេជ្ជបណ្ឌិត ទុង នឹងធ្វើការវះកាត់យកជាលិកាដុំសាច់ចេញទាំងស្រុងឱ្យអ្នកជំងឺ ដោយធានានូវដំណើរការបន្តនៃឆ្អឹងថ្គាម សរសៃប្រសាទ និងមុខងារសន្លាក់ temporomandibular ។ ក្នុងករណីខ្លះ ដុំគីសធំអាចរលាយដោយឯកឯង និងជាបានទាំងស្រុងបន្ទាប់ពីបន្ថយសម្ពាធ។
ដុំសាច់ថ្គាម (Ameloblastoma) គឺជាដុំសាច់ស្លូតដ៏កម្រដែលមានប្រភពចេញពីកោសិកាបង្កើតធ្មេញ ដែលជាធម្មតាលេចឡើងនៅថ្គាមខាងក្រោម ដែលភាគច្រើនត្រូវបានរកឃើញនៅក្នុងមនុស្សវ័យក្មេង។ ទំហំដែលរីករាតត្បាតក្នុងទីតាំងគឺខ្លាំង អភិវឌ្ឍដោយស្ងៀមស្ងាត់ បំផ្លាញឆ្អឹងថ្គាមយឺត បណ្តាលឱ្យខូចទ្រង់ទ្រាយមុខ និងប៉ះពាល់យ៉ាងខ្លាំងដល់មុខងារទំពាររបស់អ្នកជំងឺ។

(រូបថត៖ FV) ។
អង្គការសុខភាពពិភពលោក (WHO) ចាត់ថ្នាក់ដុំសាច់ថ្គាមទៅជាប្រភេទផ្សេងៗគ្នា ដែលនីមួយៗមានលក្ខណៈ និងវិធីព្យាបាលផ្សេងៗគ្នាតាមទម្រង់ ជាពិសេស ដុំសាច់ថ្គាមមានប្រហោងតែមួយ (unicystic ameloblastoma) អាចត្រូវបានព្យាបាលដោយវិធីសាស្រ្តថែរក្សាទម្រង់ដើមដោយ បន្ថយសម្ពាធ ឬកោសដុំសាច់ដោយសាមញ្ញ។ ប្រសិនបើការធ្វើរោគវិនិច្ឆ័យមិនត្រឹមត្រូវ ឬការធ្វើរោគវិនិច្ឆ័យមិនពេញលេញ ឬការព្យាបាលវះកាត់រាតត្បាត ការវះកាត់យកចេញនៃផ្នែកណាមួយ អាចបណ្តាលឱ្យអ្នកជំងឺទទួលផលវិបាកធ្ងន់ធ្ងរ និងវាមិនចាំបាច់។
ដើម្បីស្វែងយល់បន្ថែមអំពី ដុំសាច់ថ្គាមនិងជំងឺធ្មេញថ្គាមផ្សេងទៀត មិត្តអ្នកអានអាចទាក់ទងប្រធានផ្នែក ទន្តសាស្ត្រ និងវះកាត់ ថ្គាមមុខ មន្ទីរពេទ្យ FV ឬតាមទូរស័ព្ទលេខ (+855) 089 999 345

